Archive

Monthly Archives: March 2022

From: susan bevis
Sent: 31 March 2022 11:58
To: PALS(LPT) (LINCOLNSHIRE PARTNERSHIP NHS FOUNDATION TRUST); SJ (LINCOLNSHIRE PARTNERSHIP NHS FOUNDATION TRUST); ST (LINCOLNSHIRE PARTNERSHIP NHS FOUNDATION TRUST); safeguarding@cqc.org.uk; Enquiries
Subject: FW: HOSPITAL MANAGERS Ward Round Today Please can Elizabeth have her phone back if charging fao AW

Dear Ann

I have requested the Manager’s Hearing and I am still the Nearest Relative.  Whether or not the MHA Team assume I am delegating my role I have not done so yet and will not do so until I have that Manager’s Hearing.

I am not going to be bullied by anyone within the Trust.  

Please advise the date of the Manager’s Hearing just like I requested.

And as for Code of Practice pleased advise why human rights are being breached with regard to Art 8 and Art 3 HRA and Section 26 of the MHA.

I have plenty of concerns I wish to discuss at the Manager’s Hearing and perhaps an inspector from the CQC can be present to witness this.  

 I would therefore like a copy of Lincolnshire Partnership Trust’s Code of Conduct for my records.

Thank you.

Regards

Susan

Sent from Mail for Windows

From: PALS(LPT) (LINCOLNSHIRE PARTNERSHIP NHS FOUNDATION TRUST)
Sent: 31 March 2022 10:57
To: Susan Bevis
Subject: RE: HOSPITAL MANAGERS Ward Round Today Please can Elizabeth have her phone back if charging fao AW

Hi Mrs bevis

I have checked with the MHA team. They are aware that you are delegating your nearest relative responsibility . Please be assured that the hospital managers hearing is being scheduled in accordance with the code of practice and relevant people will be informed in due course

kind regards

A Munro

Patient Experience Lead

Lincolnshire Partnership NHS Foundation Trust

Unit 9

The Point

Lion’s Way

East Road

Sleaford

Lincs. NG34 8GG

www.lpft.nhs.uk

facebook/LPFTNHS

Twitter: @LPFTNHS

Dear Dr Shahpasendy

Do you agree that ‘upregulation’ and ‘downregulation’ of dopamine might affect presentation of psychotic symptoms?”  

Please can I have some Section 17 leave so I can take Elizabeth to Kelby Church on Sunday morning.   Please can you increase the 30 x minute twice daily as she would like to see the ducks on the canal.  She might also like to come swimming.  I bought her a new swimming costume by the way.

Please note that as I feel her religious needs are not being met on your ward I have had to notify Georgina Machell, the Reverend in charge of all the churches in the vicinity of Ash Villa and she is more than happy to come and visit.   In fact she has already tried to make contact with Elizabeth but could not get through on the telephone.  Please ensure that the phone is with Elizabeth in her handbag and not in a locker.

I hope you have reconsidered the tests on the Limbic System re your brilliant research as I am sure you will agree this is extremely important and relevant and as a carer’s rep I feel it my duty to tell everyone about your brilliant research so that everyone can benefit.   The whole ward could benefit. 

It is not as if I am against treatment but it is wrong to prevent a proper examination and I am willing to pay whatever for any tests that are needed especially as someone from Lincolnshire Partnership Trust has reported me to the Public Guardianship Office and I am being investigated as an unfit Attorney on Health and Welfare plus as an unfit nearest relative you all want to get rid of when I have no problems with my daughter having the correct treatment.

I am also not happy that the bed is not comfortable, the room is cold and no blankets from outside are allowed, no visiting dogs are allowed –  you have to think that this is not a prison but a hospital and therefore patients should have nice things such as outings like in Lincoln Hospital “The Out and About Club” .   Ms Connery please can you intervene in making sure that the CCG provides everything that is recommended for Ash Villa in terms of funding and what is the point of having empty grounds, a netball court not being used and gardening facility abandoned.

I look forward to your confirmation Ms Connery that you are going to deal with the above as a matter of urgency and also I await your comments, Dr Shahpasandy and to hear about the S17 increased leave entitlement and exactly what stage are you at with the safeguarding against me as I will need to inform my employers.  

Look forward to hearing from you.

Regards

Susan Bevis

One last thing where is all the underwear I bought for Elizabeth?   Has this gone missing?  Does she need to be referred to an i/c nurse?  And where is the third blue blanket?    

MESOCORTICAL PATHWAY

“Elizabeth will feel worse because there is some evidence that she is a poor or non-metaboliser of Clopixol. A few years ago Susan Bevis paid for tests on some the common liver antigens (P450s) responsible for metabolising psychiatric drugs.  You might want to ask her about this.  

If I recall she was deficient in the two main enzymes mentioned below.  This can and often does lead to toxicity and or treatment failure.  So in a nutshell the drug will not treat the psychotic symptoms but can cause poisoning because the patient cannot evacuate the metabolites fast enough.  Dr Shahpesandy definitely knows the pharmacodynamics and pharmacokinetics here.  See page 47 of the attached slides.

In vitro studies suggest zuclopenthixol is metabolised primarily by CYP2D6 and CYP3A4. The clinical study supports this, demonstrating the impact of co-prescribed inhibitors or inducers. Guidelines should incorporate these interactions noting the potential for zuclopenthixol-related toxicity or treatment failure.

“I’ve read reports where there manufacturers tests these drugs on existing patients and ask them if it makes them feel better or worse.

Elizabeth says it makes her feel worse but Dr Shahpesandy isn’t listening.”

On Wed, 30 Mar 2022 at 19:30,

“The mesolimbic pathway is implicated in schizophrenia.  In paranoid schizophrenia fear and anger are magnified and distorted and might cause disruptions in the mesocortical pathways to the frontal lobe causing psychosis.  

Zuclopenthixol Decanoate (Clopixol) is a mesolimbic antagonist* on D2 receptors in the mesolimbic pathway.  Those with poorly expressed CYP2D6 (poor or non-metabolisers) experience significantly attenuated elimination of Clopixol leaving the drug active in the mesocortical pathways for longer an potentiating increased risk of adverse effect .   

*meaning it depresses the activity of dopamine receptors in the mesocortical pathway between the limbic system and the prefrontal cortex.  This is why it is important to know if there is any sign of inflammation or any lesion in those areas of the brain.  An MRI scan will give the first clue and a search for specific antibodies will conform whether there are any lesions or inflammation.  

It is also why it is necessary to determine if a patient is a poor metaboliser of Clopixol. 

Subject: Limbic Inflammation

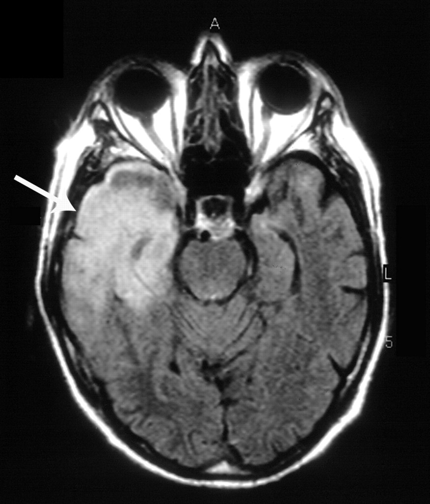
“Here is a scan showing limbic related inflammation in the temporal region of the brain.

As you can the pale area on the left temporal area of this patient’s skull that part of the brain is inflamed.  That is the part of the brain where the mesolimbic pathways are found.  That inflammation might stop dopamine D2 signalling and affect thought process, especially anger and fear.

Clopixol is a D2 antagonist on that pathway too.  If a patient had an inflammatory condition it will likely affect neurotransmission and the metabolism of this drug.

Dr Shahpesandy is, from what I can see from his research well aware of P450 metabolism and the effect of inflammation and lesions on neurotransmission.  

Do the MRI and follow up with looking for inflammatory markers.  “simples” as Meerkats say.

B”

>
Sent: Thu, 31 Mar 2022 0:06
Subject: On a final note re; Mesocortical pathways

“That’s why the Martin Harrow study is so important.

That’s why patients on long term anti-psychotics have adverse effects on cognition and not improvements.”

Subject: Brain scan indicating inflammation.

 Further to the earlier comments.  The left temporal lobe of this patients brain is inflamed.  Note that the brain crenelations are closed up and the brain tissue is pale on the scan just before the eyes.  

Above this the mesocortical pathways extend to the pre-frontal cortex where our higher and abstract thoughts occur.   Interruptions in neurotransmission can be caused by this inflammation and interestingly some anti-psychotic medications also interfere with D2 (dopamine) receptors in the mesocortical pathway.  

Ask the doctor if he would agree that ‘upregulation’ and ‘downregulation’ of dopamine might affect presentation of psychotic symptoms.  I would be fascinated by the reply. 

If you look at the diagram of the mesocortical pathway from the limbic system to the pre-frontal cortex pathways (in red on attached diagram) you will see them moving forward of the temporal zones.  

Anti-psychotic medications down regulate those neurotransmitters, that is indeed what they are designed to do. 

B”

The court case that did not go ahead as although I did object to S2 I knew how hopeless it is to even comment but without comment or signature on documentation it was wrongfully assumed that I as NR objected to S3. My following comments show why there is a great need for reform under the MHA.

MB AMHP (Claimant) and E Bevis (Defendant) (By her Litigation friend, not yet appointed) In Lincoln County Court in the Matter of the MHA 1983

The litigation Friends were completely and utterly ignored in this matter.

No sooner had we arrived in Lincolnshire my efforts in trying to get a continuation of treatment in the community were failed by the NHS and instead of helping AMHP’s from Gervas House Long Leys Road Lincoln sectioned Elizabeth instead of assisting in getting treatment in the community ongoing for which I am being accused by various professionals of stopping/encouraging her to stop so the emphasis needs to be on what the role of such professionals should be in my opinion instead of bullying and threatening court action against you. As everything I had tried came to nothing, all that was needed was for the treatment to be ongoing – continuation of care and not sectioning lasting months on end and bullying by way of displacement.

The legal documents included a report AMHP by RM (a senior AMHP), First Tier Tribunal Decisions (I was not included in this Tribunal) a clinical assessment and risk framework plus Medical recommendation by Dr Ismail and Dr Turabee and AMHP MB.

This cost £332 to produce the paperwork issued on 20 October 2021.

Does your claim include any issues under the Human Rights Act 1998 and the box ticked in yes – lol! What Human Rights Act are evident under MH? That is a joke as they most certainly do not exist under MH and Lincolnshire Partnership Trust is a good example.

On document A1 there are lies and accusations that I avoided the AHMP with an assumption I disagreed with S3 because I had not agreed to Section 2 which went ahead anyway regardless. We had just moved and all I wanted was for the treatment to be continued in the new area. I had a letter from the former area and discharge note pointing to all physical health conditions. The Clopixol Depot was being reduced slowly and gradually by the former area and all I wanted was for this to be put in place. Paperwork was dated 20 October 2021, Section 2 ended 21 October 2021. Due to pressing time restriction the Claimant files this application to displace the Nearest Relative under Section 29 (3) (c) urgently. By filing the Application under S29 (4) the Act deems the current S3 detention will be automatically extended until such time that this application is finally disposed of by the Court. Statement of Truth is signed by Kyla Bailey Legal Representative of Lincolnshire Legal Services.

We had only just moved, had poor internet connection, we could not move into the house straight away as services not up and running. Despite this all I made every effort to get treatment in place and if this had been done there would have been no need for sectioning.

They turned up at the house unannounced so I was told but I in the shower, was already late and had to rush out to college. I did not know they were coming. They assumed I was avoiding them and that I disagreed with Section 3 and so immediately instructed their legal team to take action at a cost of £332 (court fee deducted from their PBA Account) Instead of sending the S3 papers by email or post, Had I have received them miscommunication and false assumptions would have been avoided. Their behaviour amounted to harrassment even hanging around and watching the house and noting a car had left. I had to be in college by a certain time and their visit was unnanounced. Instead of taking such heavy handed approach surely their role should be one of caring but sadly it is not. I cannot see any compassion in these people from shocking past experience of a previous area but so hoped that in the new area things would be better.

CHARLESWORTH WARD LINCOLN HOSPITAL SAFEGUARDING CONCERNS TOWARDS MOTHER SUSAN BEVIS Dr Ismail RC

After waiting in A&E Lough virtually all night to see a Doctor who failed to arrive eventually an ambulance came. I was told I could not accompany Elizabeth – they just took her away and sectioned her without any regard to the efforts I had made in just trying to get necessary treatment up and running in the community like before. Our move had turned into a disaster. I was advised by an expert to call 111 who advised A&E but instead of necessary help so that Elizabeth could have returned home immediately she was sectioned and it was obviously too complicated for the NHS to provide continuity of care in the new area. It was devastating, they just took her away, refused me accompanying her and then made her subject to yet more torture on locked acute wards but if they had read the notes properly they would have seen the discharge note and letter from former area detailing the reduction plan off the clopixol depot by the CMHRT RC.

Elizabeth sectioned to Charlesworth Ward Lincoln whose nursing staff accused me of all kinds of things ranging from neglect, incapabilities and psychologically controlling/abusing my daughter. As a carers rep who has a DBS I had to notify certain others that I was under safeguarding and they offered me support. I called for a S42 but this was never forthcoming then was told that the safeguarding had been dropped as I complained about this. The court bundle amounted to many pages but I am only going to feature some of it to reveal what is going on that I feel needs to be changed in the current system not fit for purpose.

On C1 of the court papers several errors: My daughter’s name spelt wrongly and GP Surgery completely wrong. It is bad for such errors to appear in court papers which should be accurate. More mistakes on P2 of 10 C2, name spelt wrongly and false reporting that she tried to commit suicide two days prior to sectioning which would have been whilst staying with me at a local guest house for which we had no end of witnesses. Even more errors appear on C3 3 of 10 “In Enfield she was supported by a range of services and lived in supported accommodation. That is not true in the slightest bit. There was not a scrap of care in place in Enfield apart from the fortnightly depot which was being reduced and she was not living in supported accommodation but an independent flat. I have been labelled as someone coercive and controlling towards my daughter and that I repeatedly phoned MH Liaison to find out the situation which is far from true. If this Hannah mentioned is the duty worker from former area of ECRHT who recommended the MHA assessment she is well known to us as a family and in the files reported in the most nasty and shocking manner then ENFIELD COMMUNITY REHAB TEAM tried to force return Elizabeth to Phoenix House Care Home by depriving her with drugs in our local area for four days. I kept an accurate diary of everything and took Elizabeth to Harley Street. Hannah would have been one of the AMHPs who came to the family home reporting nastily for the purposes of CoP.

Elizabeth was 6 days without the depot in the new area when I desperately sought help as I did not want her to go downhill but instead we got bullied again.

Documented in these court papers Elizabeth had explained she was Autistic and needed someone to talk to like a psychologist but all they thought about was medication but having said that, only a continuation of treatment as before was needed which was being reduced down anyway by our former area. The letter detailing that was given to the GP and MH services. Elizabeth stated she was not mentally ill and that her problems were physical – she is correct. Elizabeth also said she had been misdiagnosed in the past.

I am accused under C7 that I am “unable to see the inconsistency of requiring a depot if she believes Elizabeth has no MH problems.” I would comment that I tried to get the drugs up and running but her discharge note pointed to abnormalities on a scan twice and CNS Central Nervous System. No mention of mental illness so wanted this to be looked into.

The Report was written by Senior practitioner R M of Adult Emergency Duty Team and concludes that there was no viable alternative to an admission to restart her medication – well if this was so then now what excuse is there to this day then that still nothing in the community provided to continue this treatment as in the former area???

EXTRACTS FROM THE FIRST TIER TRIBUNAL REPORT “The patient shall not be discharged from liability to be detained. Featuring evidence from Dr I RC, Nurse A S and Ms Awosanya.

I was accused of weaning Elizabeth off Aripiprazole and this is not correct. This is a blatent lie.

They cut and past reports from previous area full of inaccuracy and lies. the subject of a family complaint where nothing had been done to make relevant corrections.

Most disturbing is the allegation that Elizabeth tried to take her life which would have been whilst in my company two days prior to admission. That is an absolute lie. It then goes on to say there were witnesses but they were not able to tell us what that attempt involved. Why put such blatent lies in court papers?

We were booked in a lovely little guest house just around the corner where Elizabeth was fascinated by the birds and animals therein. Elizabeth was happy and looking forward to a fresh start as I was after years of bullying under Enfield. We can soon verify such lies.

The report continues stating she was expressing ideas of suicide when Elizabeth was truly happy to have moved and to be starting afresh. The report says she wants to return living with her mother that she has the physical condition of PCOS and neurological condition of autism and has balance problems. She agreed to accept visits by a new MH team in the community but preferred tablet form to depot

One nurse who failed to comment in the same negative mannerism, Ms Awosanya, refused to express agreement about the need for detention. Well maybe Ms Awosanya observed things in the correct manner unlike everyone else but was criticised for her differing views.

The tribunal decision concluded the patient has a mental disorder and that the RC’s evidence was not contradicted by any other evidence – pity as if I had been invited I would have provided abundance of such evidence by way of file paperwork/reports. They then state Elizabeth lacked insight labelling her condition to be a disorder and blaming – “mother’s attitude to be cause of exacerbation of her disorder”. Also mentioned was a severe physical health condition (IC) that Elizabeth was noticed to have at this acute dormitory-style ward.

Nurse Skelton’s evidence:

Nurse S commented on diet and that on her shift there was an occasion where Elizabeth had several takeaways in addition to hospital food for which I was blamed. I telephoned Nurse S who denied writing any of this and she blamed admin staff for notes under her name. Nurse S had stated “on one occasion several takeaways turned up” however none of them came from me but this shows Elizabeth has capacity to order what she wants as I had refused to buy a takeaway stating only one a week was allowed on that ward. Elizabeth managed to get the takeaways through others. As usual I was blamed. Nurse Skelton assumed wrongly that her dietary concerns towards me would continue with risk to Elizabeth’s physical health if allowed in my company (IF SHE WERE NOT DETAINED) and in the community. Well this shows lack of insight and wrong assumptions on her part. When I phoned she completely denied writing such comments so who did in that case? They are done to discredit you and portray you in a detrimental light to the court in other words making out you are unfit as a mother which is really nasty. Who would think I would be reading these defamatory comments against me in the tribunal papers prepared by “professionals” for a tribunal I was not even included in. Also, because of Elizabeth’s physical health condition associated as a side effect of the current prescribed drugs (IC) that by releasing her from section this condition warranted nursing care and support. Well that doesn’t bother me as I did this all for my father with Alzheimers previously and he lived in the community for many years but died as a result of care meant for respite. Even more false allegations about the attempted suicide which would have been in my company prior to admission – what a pack of lies! Another reason or rather excuse for non-release was safety concerns and inadequacy of mother in addressing anything mentioned above whether it be diet, IC, my whole personality slated by strangers including this nurse that Elizabeth would be risk to family and healthcare workers. If Nurse S or whoever wrote these notes bothered to look into matters properly they would have seen that Elizabeth was released into the community without being on any section and was compliant with medication and living in independent flat in the community without a scrap of support apart from that given by her mother who used to visit every single day on her own. They simply haven’t got a clue and just write assuming things and if only there was something good in this area like Open Dialogue, none of these assumptions, allegations and false reporting would be evident in court papers. It makes me sick the constant mention of lack of insight towards Elizabeth and myself when it is the professionals themselves who lack insight and have no understanding into LD or autism or in communication

They wanted to carry out DASH assessments when I have no concerns. Obviously I sought help in getting treatment continued and realise that someone can go downhill if a steep reduction which is nothing to do with a relapse of mental illness but withdrawal syndrome. It states she was happy in the dormitory accommodation but only with a couple of people sharing. However they had to move her from one end of the dormitory accommodation to the other and then put her in a side room so that was not the case. She could not stand the noise and has sensory issues. She then expressed her wish to come home to Dr Ismail.

Then the report goes on to say “unkempt, hair unwashed, clothes unwashed and dirty, poor insight, fixated stare – answered questions with one word – quiet and reserved and presented as agitated and frustrated with questions being asked.

I am saddened at reading what these so called professionals have presented before a court by copying and pasting reports and alleged incidents from former area going as far back as 2008, all of this done to discredit both patient and relative and ensure that someone is detained in hospital for a long time and punished in this way.

It says in 2008 she broke a window with a chair – pack of lies.

Numerous criticism of inappropriate behaviour going back to 2008

They report she was charged with GBH – another pack of lies. No she wasn’t.

Caused extensive damage to a caravan – ANOTHER PACK OF LIES LINCOLNSHIRE PARTNERSHIP TRUST.

Offence of rape – I am finding it hard not to use inappropriate language on this blog as this is getting worse. What a lie!

Jumped over a desk at her GP Surgery. Oh no she did not – she pulled the phones out of their sockets and did not cause extensive damage as when I called to offer to pay I was told there was no damage. Elizabeth wanted an MRI scan in an open scanner and it was the height of lockdown. I was trying to sort this out privately for her myself at the time.

They have dug out every bit of dirt to discredit myself/my daughter to make us out to be bad and inadequate, none of the alleged events documented correctly – many either did not occur or are blown out of all proportion to justify longer detention and make someone look like some inhumane monster when those who are in such profession should be kind, caring and compassionate are clearly not so from what I have just read.

Under Lincoln Hospital’s facility we had little contact with Elizabeth except for a couple of visits supervised, only 2 x 30 minutes escorted leave given to Elizabeth in noisy unsuitable environment.

Oh my God they have not finished yet – the report goes on to describe other very nasty things and she has never been suicidal except felt that way whilst under the so called “care” of an inpatient setting where it was so unbearably noisy Elizabeth said she was so distressed she tried to gouge her eyes out.

The facility at Lincoln Hospital is not fit for purpose for someone who has sensory issues. They had to move her to a side ward.

They say she has a previous diagnosis of schizophrenia.

The meaning of the word “Abuse” to my daughter is the refusal of a takeaway or it could be a simple disagreement but professionals blow things out of all proportion leading to safeguarding which I personally would welcome. I believe safeguarding to be in progress at Ash Villa going on behind my back as this would explain the very restrictive current visiting rights and that is why it is important to investigate holding a Section 42 meeting which I have requested many times. What is so bad is the safeguarding is going on in secret behind my back so I believe. I too have safeguarding issues myself so all such issues should be discussed at a S42 meeting. Throughout the report Elizabeth states she wanted to come home but this has just not been listened to and we have witnessed the worst restrictive treatment and breach in human rights ever encountered under Lincolnshire Partnership Trust.

Nurse S Referral Details

Hostage taking and stalking – what a pack of lies!

Under Section 2 she was forcibly restrained and administered with depot. “Doctor thought this was best”.

Copying and pasting of reports going back to 2003???? drowning in the sink ????? Oh come on now!

Incidents completely wrongly reported and discrepancies in line with dates – just copying and pasting erroneous records from former area’s notes without checking for accuracy.

On page C34 last para completely wrongly reported and was not charged – please get things right before presenting absolute rubbish before the court.

More rubbish on Page C35.

She did call emergency services and thought the Police were her friends and the ambulance drivers and crew. She used to sing and play her guitar to the Police and ambulance drivers who I would thoroughly commend for their kindness, understanding and compassion unlike brutal MH professionals. She kept phoning them as she was lonely and had nothing to do in the community – nothing was provided.

The relationship between us is not volatile but there were problems when Elizabeth stopped the drugs “cold turkey” and so I would agree that a slow gradual reduction plan is therefore necessary but the problem is the NHS have never helped with such reduction plan prior to most recently in the former local area.

Having read nasty vile comments from various professionals who do not know us I want to say in defence of my daughter she loves animals, she is fascinated by pigeons in particular. She has received the most apalling treatment under the NHS and been sent to some absolutely dreadful places. It is no wonder she has complex PTSD and traumatised. She has suffered extensive abuse but none of this appears in any of these court papers other than intent to cowardly portraying us both in the most nasty manner you can imagine. We moved to try to provide the right environment but instead of help to get treatment ongoing we were faced with bullying yet again. I wish now I had sought private help instead of turn to the brutal NHS.

Charlesworth Ward had Safeguarding concerns regarding me as Mother.

Seems like Ash Villa also have Safeguarding Concerns.

Well I too have safeguarding concerns about my daughter and I have reported these to Adult Social Services yesterday.

I never even commented regarding S3 but they assumed objection and went for me by displacement of nearest relative and my blog documents the rubbish and lies produced before a court when such professionals think it best interest to get rid of the nearest relative without even obtaining proof of objection officially in writing. They assumed that I would object so just went for displacement. The abuse allegations were no doubt because I refused to buy a takeaway yet this is what I am being accused of by Nurse Skelton or whoever wrote those comments. Elizabeth said she would be reporting me for the refusal but showed full capacity in managing to get three takeaways in one day for which I was blamed.

Included in all this paperwork amounting to about 50 pages is a copy of the MHA 1983 “Compulsory Admission to Hospital and Guardianship Procedure for Hospital admission”. Sadly the law is supposed to protect vulnerable people like my daughter but it is not protecting them at all and with Corona Virus human rights have vanished and there is even more abuse going on behind closed doors.

I have received a letter amongst this paperwork from Legal Services Lincolnshire County Offices Newland Lincoln LN1 1YS. It says “as NR you had the ability to sign the papers for that second detention which would be under S3 of the MHA and would allow her to remain in hospital for up to 6 months”. Well actually I didn’t because the papers were not left or put through my letter box or sent by email or post.

“You have reasons to object to the continued detention of Elizabeth as you do not believe she has a mental health illness. I understand you have expressed your objection to Section 3 and have exercised your right as NR to make that objection.” No again because I did not receive any paperwork to object to S3 in order that I could either way make a decision as NR so do NOT make any assumptions therefore. The mental health illness my daughter has is trauma (complex PTSD) from years of abuse not by myself or her family but by professionals and others and she was badly abused under care said to be consensual. This has only just been recognised because I obtained the files from Elysium. Yes you are right there are substantial underlying physical health problems that are not a figment of my imagination but fact and again I have the files to prove this as I had private tests done by doctors.

“As a result the legal position is that the approved mental health practitioner decided to instruct the legal team at the Lincolnshire Council Council (me) to file an application to the local Court asking for you to be displaced as the Nearest Relative for Elizabeth and to name the local authority (Lincolnshire County Council) as the nearest relative in place of yourself. ” So why did you not look into matters properly and see that in 2017 there was a case at Royal Courts of Justice where I represented myself. It was decided that it was a CONFLICT OF INTEREST FOR THE LOCAL AUTHORITY TO BE THE NEAREST RELATIVE. I was complimented by the Judge by the vast amount of evidence I gave to show how the Local Authority nominated NR who had tried to say that the incidence of severe abuse of my daughter under Moti Villa was consensual WOULD NOT MAKE A GOOD NEAREST RELATIVE and when I saw who it was and had read all her nasty comments about me I decided to write corrections to everything and represent myself in court. There was so many mistakes in the court papers I had to re-do the reports to the County Court from the AMHP from scratch, correct everything before I even got started on my own reports. I did a good job of it to the point that Solicitors representing them could not tell the reports apart from their own due to me even copying their logo. The first Hearing took place without me, as I was given the wrong court details but I had the best experience of all meeting Lady Justice Roberts who went out of her way to help me as nothing was listed and I was not given the information correctly so a second hearing took place. The Judge quite rightly said he would like to meet Elizabeth to hear her views. It is a pity that AMHPS do not listen and treat vulnerable people, their carers and family with respect. instead they act in an intimidating threatening manner. An independent capacity assessment followed by a wonderful psychiatrist who confirmed Elizabeth had capacity. I only backed out when threatened with £5000 by Enfield’s Legal Services for their costs. However I enjoyed the experience of representing myself in court and exposing inaccuracies and lies in the reports. As you can see it is very wrong of you to replace me with someone from the Local Authority due to conflict of interest.

By doing this and filing the application papers at the Court which we have done on 20 October 2021 this then gave the hospital legal powers to continue to treat Elizabeth under S2 MHA and keep her safe

Safe???? What safety – to put someone on a dormitory not fit for purpose ward who has sensory issues is FAR FROM SAFE isn’t it!

I am not going to feature this all but the letter addressed to me is from K B (Lawyer) For Legal Services Lincolnshire. My daughter – first defendant, myself noted as second defendant. This is not the first time I have had to read such painful comments amounting to bullying and the reason staff play on confidentiality is to conceal what they write about you behind your back all geared to failing court hearings. This is just one example.

I have previously said I did not want a battle against professionals in the new area and hoped we could start again afresh but this has not been possible. To begin with I was impressed with the carers network. I liked the people here in my area which still stands but I was hoping that we would be looked upon afresh and not judged by file notes originating from the former area.

In the former area they were just starting to take her physical health seriously and there were no end of physical health appointments arranged.

Unfortunately now stuck on a MH ward physical health is disregarded even when you discover the most wonderful research done by none other than the doctor in charge this is denied. Physical health under MH in Lincolnshire Partnership Trust is denied in terms of a patient having appointments and not being allowed to attend.

Only observations are relied upon not scans which are considered irrelevant even when it is stated “abnormal findings on a scan” twice. I have even offered to pay for such scans.

As for the AHMP department I am totally disappointed. I am not even asking for anything provided except for the very basics and that is for her “treatment” of the depot to be continued as it was in the former area taking note that it was being reduced. What is so unreasonable in that and why spend hundreds and thousands of pounds of public money on taking people like me to court and slagging them off behind their backs treating them like criminals.

Lincolnshire County Council “Working for a better future”

A better future can only be obtained if there is honesty and transparency along with compassion – Open Dialogue is first and foremost the only answer towards working for a better future.

12th February2022  –  My Account of Events

“It is evil to keep her from seeing her Mother on her Birthday”

I drove for over an hour to visit my daughter on her Birthday.  Two hours leave had been granted by RC  HMS just to go into Sleaford but then I received calls from ZB (Carer’s Champion) advising me not to come but the day before my visit I had numerous text messages from Elizabeth instructing me on what Birthday cake she would like.   I had this made specially so I felt I ought to go even though I was told due to Covid I could not visit on the ward and this I did not challenge or act aggressively when advised.  I did feel as though it was never really the intention to allow her out and spend time with me with me alone for any length of time and I was correct.    I arrived at Ash Villa and rang the front doorbell.  I handed the cake to staff and I was told Elizabeth could not come out even for five minutes to see me and most disturbingly she did not want to speak to me.  I was very concerned as this is out of character and it was as though something had upset her.

I spent the day in Sleaford and decided to call back to the ward later on   I was met with dismissive behaviour by ZB stating that nothing had changed – Elizabeth still did not want to speak to me or see me on her Birthday which was really strange as she was excited about my visit the day before but most concerning of all was that no one (either family or friends) could get through to Elizabeth.  She either did not have her phone with her or else the phone battery was dead.  What is more, no-one could get through from the family/friends for several days thereafter which was really distressing especially as there was supposed to be covid on the ward.    I went back to the car as all I wanted to do was to hand her the presents for just 2 minutes which I did not just want to leave with staff.    Not even two minutes was she allowed to come out.

I then went back to the front door and rang the bell and said I would wait in the car park as I wanted to hand the presents and then leave –  when I did this I was threatened with Police and said they had called Police on me who were on their way.  When the Police arrived at the ward  I had moved my car elsewhere.  I could not believe their actions to waste Police time in this manner.     I was not constantly knocking on the ward door, swearing, or threatening staff – far from it.  Obviously I was upset but not acting in an intimidating manner apart from saying I would stay in my car all night and then just hand the presents when she felt better.   I had moved my car.

I then called the Police as I was worried about my daughter’s welfare and asked them to do a welfare check on her but they were not allowed in –  there was supposed to be covid on the ward, the excuse for a ban on visits.

What was so concerning was that it was at least four days later that anyone from the family could get through to Elizabeth who claimed she was not feeling very well on her Birthday but still all of this was out of character not to hear from her for around four days and everyone was so concerned and all we got was excuses that she did not want to speak to anyone.   When finally I got to speak to Elizabeth she did not even know I had brought her a card and presents.  They had just been dumped in a locker room like rubbish.     I then complained about this to S, deputy ward manager, who told me that Elizabeth never asked for the presents but how could she when she would not have known about them.  It was very upsetting and I got the phone slammed down on me which has not been the first time.  

It is justified under Ash Villa (Lincolnshire Partnership Trust) that staff should put the phone down when they see fit and that there is only one point of contact under Ash Villa but you cannot even get through on the ward phone at times which points to staff shortages.

Further to the above:

Elizabeth was advised by a nurse that the tests had already been done on the Limbic System but this is clearly not true. No tests have been carried out and yet Elizabeth must have asked regarding such tests. They are obviously being denied to her so I have written to all her advocates. This points to discrimination and denial of a vulnerable patient’s wishes. Elizabeth told me she had asked re the tests. This hospital Ash Villa could not care less and the examples below are all related to how a parent/carer is treated and if this is how a parent/carer is treated if they dare to challenge in any tiny way what is going on which is clearly in breach of human rights and MHA law then this is clearly a safeguarding issue and I have requested this to be looked into by Adults Social Services. I am only too happy for safeguarding to be done on me but in this case I think there needs to be a Section 42 meeting as there is clearly breach of the law on their part.

From ZB
Sent: 29 March 2022 11:06
To: susan bevis
Subject: RE: THE BOLITHO CASE

Good morning Susan

Thank you for your emails.

Whilst I understand your frustration having been advised we could do the tests unfortunately Elizabeth has not given the doctors consent to the bloods to be taken.
I’m sure you can appreciate that the doctors need the consent from Elizabeth directly.

As for Dr Shahpesandy study this is something you can discuss with him further on Friday when you have your meeting.

As far as I am aware No section 17 will be granted for leave to see the ducks and swimming, again this is something you can speak with Dr Shahpesandy about on Friday.

I will ask Elizabeth about her underwear and if she has enough and feed back to you.

Kind regards

Z B

Ash Villa
Sleaford
NG34 8QA

From: susan bevis

Sent: 29 March 2022 10:34
To: ZB
Subject: THE BOLITHO CASE

Dear Z

If it is not possible for Elizabeth to take part in the study on Limbic system please can you enquire via Dr Shahpesandy as to how he managed to do the study on the 51 year old admitted with acute psychosis who turned out to have inflammation in the temporal zones caused by some problem in the Limbic system.

I am just querying this as it has come to my attention he too had been put on Clopixol for his psychotic symptoms that were in fact as a result of the inflammation of the brain – please note the Bolitho Case.

I would like to confirm with you as to whether S17 leave can be granted to show Elizabeth the canal with all the ducks and birds or maybe to come swimming. If not please supply the reason for his concerns regarding me under S26 MHA.

I bought Elizabeth some more underwear. Elizabeth says staff have taken the this away and I am wondering if this has been thrown away or has this been handed back to her. I am entitled to know because I bought the underwear and would need to know so that I can supply more.

Also I have not heard anything from sophie and Sarah from the MHA Office regarding the Manager’s Hearing. Please advise when this is. I am having to copy in others as this is most relevant and they need to be informed about the Manager’s Hearing.

Regards

Susan Bevis
Mother, Nearest Relative, POA and McKenzie friend

From ZB

Sent: Thursday, March 24, 2022 11:24:15 AM
To: susan bevis <
Subject: RE: Elizabeth’s PHONE

Hi Susan

I have just spoken to the doctor and he has advised that No section 17 leave off hospital grounds will be granted at this time.

Kind regards

ZB

Carer Champion

Ash Villa

Sleaford

NG34 8QA

From: susan bevis
Sent: 24 March 2022 10:34
To: ZB
Subject: Re: ELIZABETH’S PHONE

Dear Z

Phone cut out reception not good here.

My main question is can Elizabeth have some leave?

Regards

Susan Bevis

Get Outlook for iOS

From: ZB

Sent: Tuesday, March 22, 2022 11:46:19 AM
To: susan bevis <
Subject: RE: Elizabeth’s PHONE

Hi Susan

As advised I have spoken to Elizabeth and her wishes was for the phone to stay in the locker.

If at any time Elizabeth changes her mind staff will facilitate.

Kind regards

ZB

Carer Champion

Ash Villa

Sleaford

NG34 8QA

From: susan bevis <

 Sent: 22 March 2022 11:40
To: ZB

Subject: RE:  Elizabeth’s PHONE

Hi Z

Please pass the phone to my daughter and say that her family wish to speak to her to wish her good luck for today.

Thank you.

Regards

Susan Bevis

Sent from Mail for Windows

From: ZB

To: susan bevis
Subject: RE: Elizabeth’s PHONE

Good morning susan

I have been down to see Elizabeth and her phone is in her locker.

I have been to Elizabeth and asked if she would like it and she asked that I Leave it in the locker.

If you need anything else don’t hesitate to let me know.

Carer Champion

Ash Villa

Sleaford

NG34 8QA

From: susan bevis < Sent: 22 March 2022 09:40
To: ZB

Subject: Elizabeth’s PHONE

Dear Z

I cannot get through to Elizabeth on the phone and wondered if  Elizabeth had her phone with her or if it is in the office.    She may well be asleep.  I wanted to wish her good luck for the Tribunal.   Whilst there have been times that Elizabeth has wished for my attendance this has not been allowed but nonetheless if I am excluded from the Tribunal I would like to wish her all the best for this afternoon.

Elizabeth told me on Sunday that she was prepared to take the drug Clopixol and engage with the MH team so hopefully this will go well.   There were no problems previously in the former area and she was discharged without CTO and took the depot without problems but this time instead of a noisy flat where murders occurred in the immediate vicinity I am providing the right environment.

As you can appreciate we pay for a contract on her phone and we need to know she has her phone with her and to hear from her personally that she is well not third party.

I look forward to hearing from you prior to the Tribunal today with the link or explanation why I have been excluded which would be against Elizabeth’s wishes as per my visit on Sunday.

Regards

Susan Bevis  

SPECIAL DELIVERY

LETTER FROM A B

WARD MANAGER

Adult Inpatient   Ash Villa

Willoughby Road   Greylees

SLEAFORD    Lincs

NG34 8QA

AIP/AB/LJCA

10 March 2022

Dear Mrs Bevis

I am aware there has been some challenges with visits and contact with your daughter and following consultation with the multi disciplinary team I am writing to you to outline our concerns and expectations.  I am referring specifically to your rudeness on the phones and the rudeness and intimidation whilst on site at AshVilla.

This Trust is firmly of the view that anyone working in or being treated on our wards does not have to be subject to or witness to rude or intimidating behaviour.  You may be aware that on three separate occasions staff have considered your behaviour to be so rude or intimidating.  This has resulted in Police having been notified.  Whilst I understand having a family member in a health care setting is stressful to act in the manner you have is unacceptable therefore I must ask you to stop any rudeness or intimidating behaviour in the future.

In addition to this request my staff have been instructed to terminate any calls they receive when the caller is rude or abusive and to call the Police if they consider there is a breech of the peace or other such behaviours in the grounds of Ash Villa.

I would also like to advise you that any planned outings with your daughter will have to be pre-approved and agreed prior to the outing taking place.  This would require section 17 leave to be approved by the Responsible Clinician.

Visits to the ward can be planned and limited to one hour due to Covid visiting restrictions, these should be booked in advance, staff will be present outside of the visiting room and if your behaviour is rude or intimidating you will be asked to leave.

I understand it must be difficult to receive this letter, but I do hope you acknowledge it and manage your behaviours better in the future.  If you think our services or responses fall short of your expectations you can of course complain to the Trust using the following address:

Patient Experience Team

Lincolnshire Partnership NHSD Foundation Trust

Unit 9   The Point

Lions Way

Sleaford  Lincs   NG34 8GG

Chair:  Paul Devlin

Chief Executive Brendan Hayes

http://www.lpft.nhs.uk

A WITNESS TO MY CALLS ALLEGED TO BE ABUSIVE

From: Gh < @gmail.com>
Date: 14 March 2022 at 11:27:58 GMT
To: AB
Cc: lpft.patientexperience@nhs.net
Subject: Letter from AB to Susan Bevis

I have read the letter from yourself to Susan Bevis and would totally refute the allegations of rudeness or threatening behaviour by Susan Bevis.
I myself have witnessed such calls as I have been in the same room as Susan makes the calls.   I am also aware of the awful occasion on Elizabeth’s birthday and having spoken to her direct how she was looking forward to receiving her birthday cake.

Several friends and family in addition to myself spoke to Elizabeth prior to her birthday and were given the same impression. It seems to have been out of character for her to not want contact.

I am witness to Elizabeth’s care over many years and have to say this has been the most restrictive to date.

In every ward round interview Elizabeth has been asked where she wants to live. She constantly says she wants to come home. We are working on providing her own safe self contained and peaceful accommodation. No way should she still be kept at Ash Villa but staff should be working towards providing care in the community.
I wish this email to be included in any complaints procedures as I would back Susan Bevis in stating that no threats have been made against members of staff, and that current restrictions are wrong, unhelpful and a backward step in Elizabeth’s care. Indeed I would say that both myself and family members have stated that it has been staff that have been rude and dismissive. Have staff been told not to give information, perhaps they are bullied by senior staff.

When we initially moved to Lincolnshire, Susan did all in her power to put medication injections in place for her care to continue. This included notifying the new GP and a trip to A&E even contacting a pharmaceutical professor at Lincoln university to see if he could help.

The ward round recently appeared to be a deliberate attempt to stop us attending.
A reply to this email is not required but please ensure it is included in any complaints procedure.

GH


Subject: Re: Limbic system update

“Elizabeth does have capacity to consent to those tests.  I am a senior lecturer in medical ethics and law and since this study is to determine possible treatments for Elizabeth it is perfectly OK to carry them out.

I would have hoped that medical practitioners would have known that.”

—–Original Message—–
From: susan bevis

To: ZB  (LINCOLNSHIRE PARTNERSHIP NHS FOUNDATION TRUST)
Sent: Mon, 28 Mar 2022 19:05
Subject: Limbic system update

Hi Z

Are you trying to say that my daughter has no capacity?

Where is the study being done and who do I contact to get the necessary forms?

Elizabeth has agreed, witnessed by more than one family member.

I look forward to receiving the necessary forms.  The tests are very important I am sure you will agree and this has already been agreed by Dr HMS in any case.  His important research needs to be widely publicised and I have proof she has already agreed.  The more people who know about his research the better as this could widely benefit more than my daughter.

The entire family are witnesses to this consent in any case.  

Regards

Susan Bevis

NEAREST RELATIVE, POA, MCKENZIE FRIEND AND MOTHER

Sent from Mail for Windows

From: ZB
Sent: 28 March 2022 17:35
To: susan bevis
Subject: Limbic system update

Afternoon susan

I have spoken with Dr HMS and the bloods that need to be taken for the Limbic system are not able to be Done as it’s as part of a study, and the study requirements stipulate that the patient must have capacity to consent to have those particular bloods taken.

Kind regards

Z B

Carer Champion

Ash Villa

Sleaford

NG34 8QA


From: b

Sent: 20 March 2022 15:44
To: susanb

Subject: The Limbic System

All the doctor has to do is repeat the tests he did on the other patient.  It was his research for god’s sake he should not need it explaining!

If it was not possible for a psychiatric patient to take part in a ‘study’ you might want to ask Z how Dr Shahpesandy managed to do the study on the 51 year old admitted with acute psychosis who turned out to have inflammation in the temporal zones cause by some problem in the Limbic system.

Upon admission he too had been put on Clopixol for his psychotic symptoms that were in fact a result of the inflammation in the brain.  

It is hardly ‘responsible’ to ignore a possible cause or diagnosis.  If physical symptoms are being ignored he needs to be reminded of clinical negligence and the case of Bolitho.  

Subject: Anti-voltage-gated potassium channel complex antibody–mediated limbic encephalitis: a case report of a 53-year-old man admitted to intensive care psychiatric unit with psychotic mania

  1. Homayun Shahpesandy1
  2. Rosemary Mohammed-Ali1
  3. Ahmed Oladosu2
  4. Tarik Al-Kubaisy3
  5. Moses Anene4 and 
  6. Umesh Sira Ramaiah5
  7. Correspondence to Dr Homayun Shahpesandy; homayun.shahpesandy@nhs.net

 zuclopenthixol deaconate (600 mg/weekly)

On further assessment, cognitive decline and severe short-term memory were noted; Addenbrooke’s Cognitive 55/100. CT, EEG and lumbar puncture were normal; however, MRI on 29 November 2017 demonstrated bilateral high signal around the temporal horn and diffusion abnormality, suggestive of encephalitis. Consequently, the patient was transferred to medical ward and zuclopenthixol decanoate was stopped.

https://gpsych.bmj.com/content/33/4/e100196

I have been reading follow ups to Dr HMS’s interesting observations on damage to the limbic system.  It is very strange that he acknowledges that inflammation or lesions in this part of the brain can and do cause psychiatric disorders but does not want to investigate this in Elizabeth’s case.

Since the psychotic episodes experienced by Elizabeth are characterised by anger and fear and clearly from the photographs there are comorbid endocrinal problems associated with her illness, damage to limbic structures could be responsible for both.  It is of course possible that the endocrinal problems are caused by ADR’s to the drugs she is medicated with.    

The limbic system is the part of the brain where emotions are controlled (or not as the case might be in psychosis)   Emotional responses to stimuli are triggered in the Limbic Structures such as the hippocampus and the amygdala.  Lesions or inflammation here would be likely to cause a marked and even severe display of exaggerated anger fear or both.  Dr HMS commented on this in his joint paper on neuropsychiatry so it is not as though he is unaware of the research.  An MRI scan would indicate this an it could be backed up by a serum antibody test for any type of antibody affecting inflammation or lesion healing in brain tissue. 

In the severest form of PTSD or disorder of extreme stress, known as Selyes Generalised Adaptational Syndrome serious endocrinal and neurological symptoms are observed and the syndrome can cause permanent damage.   

Researchers are examining the possibility of treatments directed at the limbic system for the treatment of acute anxiety disorders.  The fact that new neurons are made in the limbic system indicates that stimulating such growth might offer a possible treatment for number of psychiatric disorders.  

I am now going to suggest this as a research topic at my pharmacy school for the next academic years research students starting in October.  

From:  b

Dr HMS had an interesting case in 2017 when a man was admitted to the psychiatric intensive care unit.  The patient presented, following almost a 2-month deterioration of his mental health with physically aggressive behaviour, elevated mood, paranoid-persecutory and grandiose delusions. Prior to his admission, he assaulted one of his neighbours. He presented with pressured speech and flights of ideas. He believed he had contact with politicians, including heads of states and powerful individuals. No cognitive deficit, no neurological symptoms.

After tests which included an MRI scan it was determined that the man did not have an underlying  psychiatric disorder and that his psychosis was induced by encephalitis around the temporal horn.  Further examination indicated the presence of anti-VGKC antibodies in the serum.  

He had been treated with zuclopenthixol decanoate for the psychosis and on detection of the inflammatory condition in the temporal lobe area of the brain it was terminated.  Inflammation in the temporal horn can cause disruption to the limbic system which can result in presentation of psychotic symptoms.  Here are Dr HMS’ and his colleagues actual words used in the paper.

“Disruption of limbic structures has huge clinical implications and is presented with a variety of neuropsychiatric disorders including epilepsy, dementia, anxiety and mood disorders, schizophrenia as well as attention deficit and hyperactivity disorder”

I have encountered this before.  A few years ago a woman presented with acute psychosis.  The psychiatrist did not read he complete medical notes and proceeded to administer a range of neuroleptic medications. Had she read the notes she would have seen that the patient had undergone surgery on her thyroid and it was clear that damage to the parathyroid had occurred during this intervention.  

Damage to the parathyroid is commonly associated with psychosis.  

Dr HMS’ patient made a full recovery after the Clopixol was stopped and anti-inflammatory and anti-seizure medication was used to treat the encephalopathy and temporal lobe seizures.

The patient in the second case also fully recovered from the psychosis after the psychiatric medication was stopped and appropriate treatment for the endocrine (thyroid) disorder was prescribed    

It always pays to investigate whether the psychosis is induced by lesions or infections especially of an inflammatory variety.  Dr HMS went to great lengths to investigate his patients psychosis including EEG, CT and MRI scans as well as lumbar fluid.  

Dr HMS has written research papers on neuropsychology that indicate he is positive about carrying out brain scans to detect lesions and or neurological causes of psychotic disorders.  I just read one where he discovered that the patient had a limbic encephalitis and that it was that physical brain disorder that was causing the psychosis. 

Therefore it seems odd that he would block Elizabeth from getting a scan since his research indicates he is in favour of carrying them out.  

Safeguarding is what I believe being used against me by Ash Villa in conjunction with the Resource Centre of MH community services in order to restrict contact and to deny basic family rights and perhaps they do not wish to put any care in place in the community but I am only assuming this at this stage. I have decided to defend myself against bullying by certain (not all) professionals.

I attended St Mary’s Church Wilsford yesterday for a wonderful service and the vicar there has tried to make contact with Elizabeth who says she would like to see someone from the church. Many people are oblivious what is going on under mental health “care” in the UK which needs to be open and transparent.

Today I have established it is LINCOLNSHIRE PARTNERSHIP TRUST MENTAL HEALTH SERVICES rather than social services I will be dealing with. Their Resource Centre is based in Stamford Lincs.

I am still the Nearest Relative and so have called for a Manager’s Hearing:

From: susan bevis
Sent: 28 March 2022 09:41
To: Jackson, Sophie (LINCOLNSHIRE PARTNERSHIP NHS FOUNDATION TRUST); sophie.jackson@lpft.mha.net; sarah.twist@nhs.net; sarah.twist@lpft.mha.net

Subject: Manager’s Hearing for EB

Dear Sophie and Sara

As Nearest Relative for EB I would like to call a Hospital Manager’s Hearing as soon as possible.

Please inform everyone above of the date of this Manager’s Hearing.

Thank you.

Kind regards

Susan A Bevis

The Tribunal was cancelled because apparently a care coordinator could not be present for whatever reason as Nearest Relative they are cutting me out of everything in terms of information and I am finding out through other sources.

I contacted the Mental Health Act Office for Ash Villa last week asking for the names of the Associate Hospital Managers. I was advised that there are no set managers. Associate Hospital Managers are supposed to be independent but my enquiries led to nothing when I tried to find out who was actually in charge of this hospital and this can only be achieved by way of calling a Manager’s Hearing.

Here are my daughter’s messages today:

I think I am being abused at Ash Villa”

Listen to me I am at breaking point”

There is much that can be improved at this facility and I believe staff would like to see such improvements. I do feel though that they to be educated in terms of mental health law plus human rights law and could benefit from the Oliver McGowan Training Programme.

On mentioning about this being the most restrictive facility ever encountered that takes over an hour to get to this was defended by a member of staff saying it was the MHA and they were complying with this or words to this effect. At Ash Villa there is only one hour a day allowed and this consists of two half hourly sessions. In order to comply with such rigid restrictions Elizabeth had to go inside the ward for 5 minutes before being allowed out again. It is surely supposed to be the least restrictive practise required and that it should not be forgotten about human rights ie Article 8 and Article 3. It is degrading treatment to be treated like a criminal and not just for the patient but carer/relative and staff think this is right and in line with the MHA.

Ash Villa’s Charter is all about:

“Respect” “no judging” “safe place to have your say” “listen to others” – What can I say to this other that lol!

There is plenty of judging in a detrimental way towards others. There is no listening or having a safe place to have your say other than supervised visits to listen and report to the top and as for safe place to have your say when an advocate appears on video link then NO MEMBERS OF NURSING STAFF SHOULD BE PRESENT AS THIS IS A CONFIDENTIAL MEETING BETWEEN PATIENT AND ADVOCATE.

“Working and Learning together”: I can only see Working against when there are more and more and more “professionals” attending meetings and so where is the learning together when carers and patients are disregarded and if you dare to criticise then moves are made to displace you as the Nearest Relative. There is zero tolerance for any criticism and this also applies to the carers network who are supposed to support you.

Recovery Choice Opportunity Hope”: The longer the incarceration the less hope and how long does it take Lincolnshire Partnership Trust to release someone back home in accordance with THEIR wishes not that of Lincolnshire Partnership Trust who were at one point signposting care homes when this had been tried before and the most apalling schemes in breach of health and safety were provided. It is the MH Resource Centre surely responsible for this? Could it be that the MH Resource Centre is holding up the release of Elizabeth from Section 3 after all this time?

Sharing Your Story: Yes this is important as otherwise nothing will EVER GET BETTER.

My enquiries and investigation into my own investigation as the Nearest Relative POA have led me to not social services as I thought but LINCOLNSHIRE PARTNERSHIP TRUST MENTAL HEALTH SERVICES – I am not altogether surprised as we had apalling experience from the previous mental health resources team in Enfield.

Now I know who I am dealing with but I am still the Nearest Relative who has not refused to delegate my role but I do not like the way I am being bullied into this and no way does my vulnerable daughter understand the full and important role of the Nearest Relative which no doubt has not been explained to her and she would never have instigated a conversation with regard to getting rid of me as Nearest Relative UNLESS possibly prompted, coerced or gaslighted OR simply misled. Someone must have mentioned to her about the Nearest Relative.

I have delegated my role once before back in 2017 when taken to the Royal Courts of Justice and representing myself to the point that Enfield Council’s legal department tried to charge me £5000 of costs which forced me out of the proceedings but I delegated my role. Just imagine what this money could have gone towards in the local community.

My point is that taxpayer’s money is being wasted. Instead of working together with the Nearest Relative AMHPS choose expensive legal action to get rid of them and divide the family and this is very destructive on their part. This is why the MHA needs to be amended. It is a conflict of interest for any social worker to be the Nearest Relative.

The Department I am dealing with right now is STAMFORD RESOURCE CENTRE

I dont know whether it is this department who is also trying to get rid of myself and her father as Power of Attorney because someone has made malicious comments – could be anyone from ward or mental health services and in any case if that is so then this will be brought before the Court of Protection and all will be revealed at enormous cost. Last time CoP were wonderful and the community MH Team social workers were slated.

They are not thinking of what is best interest in terms of health and welfare by holding Elizabeth on a locked ward that is noisy and moving her from room to room, depriving her of fresh air and contact with her family with false accusations levied towards myself/her father of stopping the depot or encouraging her to do so which is the malicious allegations put forward to Public Guardianship Office to get rid of us as attorneys for health and welfare.

The one thing I have done though is to challenge them on physical health which I feel they are neglecting as the former area of Enfield were finally taking this very seriously whereas Lincolnshire Partnership Trust have refused permission for me to take Elizabeth to see the Neurologist in London and other appointments which the local GP surgery advised was best to do. They have not granted any Section 17 leave so this is a form of punishment and abuse of human rights.

For the information of anyone who has a relative stuck under MH services right now Section 17 leave IS NOT GROUND LEAVE FOR HALF AN HOUR TWICE DAILY. No Section 17 leave is granted to Elizabeth by the RC of Ash Villa.

SECTION 26 MHA – reason why restricted contact with your relative? As regards possible safeguarding I have already said I would welcome this under a Section 42 meeting. So what is this safeguarding exactly about Lincolnshire Partnership Trust as I would rather be judged by the public as everything under Lincolnshire Partnership Trust seems biased. Openness, honesty and transparency would surely come under your Charter “connecting with others and your community” – this is of public interest as litigation costs public money – money that is better spent on improving care and facilities for those in need. I can overwhelming prove my innocence against what I am being accused of currently before the Public Guardianship Office – Anita Heera Investigator and I do not mind making this public.

At Ash Villa there is potential to improve everything. They have nice grounds for a start. They have a netball court and they used to have gardening in the grounds. There is enough space for a swimming pool and there ought to be a hairdressers and beauty salon – again there is enough space for this. Rooms should ideally have en-suite shower rooms. There should be a minibus not just taking patients to appointments but on days out like the Out and About Club at Lincoln Hospital.

If the public think that these patients are dangerous they are very much misinformed. I would welcome any of them to my house. These are people who have suffered tremendous abuse but have never been given the right care or facility. A locked facility is not the right one for recovery especially somewhere where there are restrictions bordering on prison and where bullying tactics/abuse of human rights are evident.

I’ve had quite a nice day today starting with a church service for Mother’s Day at St Mary’s Church Wilsford. It was a really nice service the only sad thing was that Elizabeth was not allowed to come with me. I have still not been given a reason and as Nearest Relative I should have been given a reason for the restrictive care under S26 MHA. The church service was specially for Mothers Day and references were made specifically to Mother’s relationship with their sons/daughters.

Anyway the history of St Mary’s Church is quite fascinating and I passed on to Elizabeth details of the service and Elizabeth confirmed in front of two members of staff that she would like a visit because after all religious rights and access to services is ignored under Lincolnshire Partnership Trust who provide the most restrictive “care” every encountered. They would come top if there was a prize for this.

After the service I went swimming and then onto Ash Villa and leave was booked outside as there is Covid restrictions on visiting yet again.

I always take nice things that are healthy for Elizabeth and then leave her with some money.

I am very concerned at the restrictive visiting and lack of exercise and fresh air but today was a nice day and we went outside and sat on a bench. Elizabeth complained about her eyes that she could not see well and complained about pain to her hands. Elizabeth said her Advocate from Voiceability was on a video link but what was a member of staff doing there at such meeting. Surely a virtual meeting with Elizabeth should have been one to one and not include any staff member.

Elizabeth asked after her cat and wishes to come home – at least the RC is not in dispute of this as they kept asking her the same questions time and time again about where she wanted to live.

It is getting nicer weather now and I am concerned that Elizabeth is not exercising or having hardly any fresh air. I do not know how long this institution keeps people but it is not good at all as Elizabeth stays in her room for the most part and is in bed as she feels cold. If she was home she could be in the static caravan or in a comfortable room of her choice with ensuite whilst her separate living accommodation is being built.

After just half an hour staff called Elizabeth to go in. However I explained that last weekend she had one hour which is all her entitlement. Staff accommodated this and seemed to appreciate that I have a long journey to make and it is over an hour away from home. This time I reflected upon last week when staff called her in for 5 minutes before letting her come out in the sunshine for the rest of her leave entitlement.

I get the feeling that they are very short staffed on the ward – some days Elizabeth does not go out at all.

Through lack of exercise she has gained weight and she looked pale and unwell. There is something wrong with her breathing that was commented upon by the former area care coordinator.

I have no idea what stage safeguarding is at against me but no doubt there is some kind of plan as there have been ever increasing numbers of professionals invited to ward rounds and I do not get to hear what is really going on other than through Elizabeth herself.

Tomorrow is Mother’s day but for me it will be a very sad occasion as I have no rights to see my daughter under Ash Villa, the only hospital that has ever resorted to this restrictive practice.

I will make my usual journey to visit my daughter over an hour away but am currently being treated like a criminal and not allowed to spend any time with her any more and under safeguarding and investigation as an Attorney. Because I have nothing to hide I will share with you all my experience of Lincolnshire Partnership Trust.

I was advised at the most recent Ward Round that concerns have been expressed about me but the RC would not emphasise further. Like I say I have absolutely nothing to hide.

I am currently under investigation via safeguarding. Furthermore both myself and her father are under investigation as Power of Attorney for Health and Welfare.

I have just heard from my daughter. She is in bed and has not been out for fresh air at all today. It is heart-breaking that on this beautiful sunny day my daughter is on a locked ward and this should never ever have happened if only the NHS had cared and assisted rather than bullied us.

I am just trying my best to continue with life such as it is. We left Enfield because we were bullied and treated apallingly, life barely worth living. We came to Lincolnshire hoping for a fresh start in what we thought was the correct environment.

I dont know how it works in terms of S117 aftercare but Elizabeth wanted to come away because she was unhappy in Enfield and going downhill. She was just lying in bed all day and I was going round every day to help in the absence of not a scrap of care provided, the team involved were ENFIELD COMMUNITY REHAB now we have a similar situation but on a locked ward which sadly was planned by the former area and none of these locked wards have been the right environment for her.

The fortnightly depot was being titrated down by 50mg every six weeks and was the only care in place. There was nothing to do, no support. There seemed to be no care coordinator. There was once going to be a Judicial Review and then she was unlawfully sectioned yet again.

We have now moved to Lincolnshire and to a very nice part of Lincolnshire by the coast. I bought a house that had potential to build a separate living accommodation in a safe environment but sadly it has been a disaster.

For Mother’s Day I would have liked to take Elizabeth to church, to see the ducks on the canal, for a meal out, swimming but none of this will be allowed which we see this as punishment. This has been ongoing now for some time and no reason given.

Under Section 26 of the MHA I have received no reason for these restrictions but the RC of Ash Villa mentioned that concerns had been raised about me but would not say by whom. He also commented about me being polite to staff so it could be staff reporting me because I had phoned the ward asking for her phone to be handed back that is often kept in a locker. There is nothing more distressful as a parent not being able to get through on the phone to your son or daughter especially when you have very restrictive visiting rights The ward phone is often ringing for a long time and then it cuts off but I would not choose to phone the office number if I could get through to her phone.

Once again we find ourselves in a never-ending vicious circle of court/tribunals and displacement by professionals who know nothing about us as a family and who we are not stopping from seeing Elizabeth in the community but it is as though they do not want her to be released. Once nurse said she spends much of her time in her room keeping herself to herself and that is because she cannot stand noise. I am also concerned she is not getting enough fresh air and exercise.

All that was needed was a continuation of care in the community that the NHS failed to provide in Lincolnshire and now myself/Elizabeth’s father are under investigation by the Public Guardian Office as a result of malicious reporting by those who are accusing us of preventing Elizabeth/or discouraging her from taking Clopixol Depot injections which I had tried to get in place and for which I have proof. I have nothing to hide and so I am making this public.

Ash Vill Sleaford

“Ash Villa, a new adult acute treatment ward in Greylees near Sleaford will officially open on Monday 1 March 2021.

The 15-bed acute treatment ward will provide support for women who are experiencing a severe, short term episode of mental ill health and who cannot be safely supported by community based services.

The unit, managed by Lincolnshire Partnership NHS Foundation Trust (LPFT) will help to reduce the number of patients having to travel outside of Lincolnshire for hospital care.

LPFT Director of Operations, Chris Higgins, said: “We are delighted to be opening a new mental health ward specifically for women. We have wanted to stop patients from having to travel further away from home for acute care for some time and coronavirus has magnified this challenge.

“Over the last two years we have had more females admitted to acute inpatient services than males and these additional beds will allow us flexibility across our entire adult acute inpatient services.”

The new ward will complement existing adult acute mental health wards in Boston and Lincoln, where patients will receive their initial assessment. Following a thorough initial assessment of people’s needs at these other two units, where it is appropriate, female patients can then be transferred to the treatment ward at Ash Villa to receive their on-going support before discharge.

“The opening of Ash Villa will provide a great resource for Lincolnshire, helping to provide invaluable mental health support for women in county. It will bring extra flexibility and help us to reduce the number of Lincolnshire women who have to travel out of county for the care they need,” added Andy Rix, Chief Operating Officer South Locality, NHS Lincolnshire Clinical Commissioning Group.

Having continually attempted to get the depot continued in the community upon moving, Elizabeth was left without the drug for six days. I was advised to register her with the GP which I did and to call 111 then take her to A&E. Unfortunately instead of help she was taken away and sectioned to Lincoln Hospital where there were draconian restrictive visiting rights with members of staff standing over you at all times. Unfortunately all that was needed was the continuation of care but they got hold of past file records full of inaccuracy and lies from the former area of Enfield and these were used in Tribunal papers where Elizabeth failed to get off S2 then there was an attempt to displace me as Nearest Relative at County Court brought about by various social workers and assumption I would disagree to S3 because I was not happy with the Section 2 as all I tried to do was to get the “care” up and running and this is what the Public Guardianship Office is currently investigating us for that we deprived such treatment (a depot) to Elizabeth or encouraged her to stop taking it when we also notified the former area that we were moving and obtained a letter detailing the reductions in hand and gave that and the discharge note pointing to only physical health conditions to the new area where we had registered with Marisco Medical Practice in Mablethorpe.

Since moving we have made substantial improvements to the family home to accommodate Elizabeth in her very own independent flat in the back garden which overlooks the sea. This is without doubt the right environment not a locked ward.

We had her home at Xmas but just for a few days which was a success but then we had to take her back and she became unsettled which put back her release. I had hoped that Elizabeth would have been released in February but she is still at Ash Villa and her Tribunal has just been postponed because a care coordinator could not attend.

Since Xmas, and her Birthday in particular visiting rights have been restricted to the point it is as though we are being treated like criminals.

This is beyond doubt the most restrictive and ruthless “care” ever encountered compared to everywhere else Elizabeth has been. Even Cygnet, Huntercombe and Cambian did not compare to this. It is like prison because that is what you would expect from a prison not a hosplital that is supposed to care and help people get better.

“it is evil to stop her from seeing her mother on her Birthday”

“I urge you to complain”

Elizabeth’s comments (she claims to be autistic but noone listens or cares)

“I will never get better in here”

“Hi someone has stood in my way getting home”

“Csny wait come home”

“All that I’ve seen happen to me is my liberty being taken away its starting to become really boring this GAME!”

“I love you mum you’re the best”

“ I am currently stuck in Ash villa“

“Hi mum isn’t there a way I could stay in the chalet while   your busy building”

“You’ve got to get me outta hrre”

“I love pigeons and make sure they’re some onion rings crisps and sandwiches from ms”

“Hi I think the MH health has abused me”

“Hi Mum can you bring me a homemade choc cream filled cake –  Hi can you please get me some egg mayonnaise sandwich maker sliced white bread olive oil spread some more salami.

“Are you coming to see me.”

“Are you going coming to see me tomorrow.”

“It  will be a long old stretch till end of February but I hope ur ready pick me up and well go for a nice mcdonalds meal and I will give you my coke so I dont spill it.”

“Dr R I think is behind all the abuse I could cry.”

“They are being nasty I dare you to come to the hospital and demand my release.”

“make sure you send that ombudsman paper off to the right place”

“miss you lots”

Re her cat “how’s my baby fluffy  “I am glad he’s ok I miss him I wd love come see him sometime soon”

“ I cant wait for my chocolate birthday cake sounds del”

“could it be that the autism has caused me to look unwell”

“this situation MH gets weirder as the day goes past.  They are ob trying to hold me against my will here it’s so terrible”

My daughter has herself on two occasions on her own accord called the CQC but now things have taken a turn for the worse and I am having to look for all the capacity assessments she has had carried out in the past which are many. My daughter has also put a prayer on Lincoln Cathedral’s website begging to come home whilst at Lincoln Hospital.  I had nothing to do with this whatsoever and she could not have done this if she did not have capacity.

J**** asked about your phone calls.

Have you got a copy of your care plan?   “no”

“would like to come to church?” “yes”

“you nd to act now call cqc”

“I refused the lying down mri”

“bring my swimming costume just in case”

“I think I am being abused”  

I received a letter dated 10 February 2022 informing me that the Tribunal for Elizabeth would be held on 22 March 2022 at 14.15 By Video. “We are contacting you as the patient has indicated they are happy for you to be kept informed of their Tribunal appeal. However access to the actual hearing is not automatic and our Tribunal panel need to be satisfied that your participation is appropriate. The final decision will be with the Tribunal panel sitting on the case on the day of the hearing.

I had filled out the forms attached but heard nothing more. Yesterday I contacted the Court and Tribunal Services and I explained I was the Nearest Relative for my daughter and that she wanted me to attend.

Today I again wrote and telephoned the Courts and Tribunal Office and despite my efforts I was not admitted into the Hearing.

I know full well if I had been allowed in I would not be able to write about the Hearing as this would be seen as Contempt of Court but the institution where my daughter is right now has a Mental Health Act Office and neither ST or SJ Manager bothered to even ring me back. Now I have just found out that Elizabeth did not go in but was ready to. She was not asleep. She did not get the chance to go in WHY WAS THAT???? What kind of justice can be gained by a court Hearing going on behind your back and the person who this is all about? What was the decision taken in the absence of myself as Nearest Relative and my daughter who was ready to attend but no-one got back to her. Seriously there needs to be an investigation into all of this. This is public money.

Professionals at Ash Villa Sleaford have been instructed not to speak to me, to put the phone down on me and call the Police if they see fit. This is the most restrictive place my daughter has ever been in and human rights breached but surely this should be the least restrictive. Having said all this I cannot criticise all members of staff there. Some are quite nice and are only doing their job but the orders seem to come from the very top “it is evil to keep her from her mother on her Birthday”. “I urge you to complain”.

The Courts and Tribunal Services are secret courts funded by public money and there should be openness, transparency and accountability. What excuse was given as to why Elizabeth did not go in?

I think I know what the outcome will be of the Tribunal will be in light of this. It most certainly would not be fair. Because such courts are shrouded in secrecy and likewise all public body complaints systems are biased in favour of “professionals” I am afraid there is NO JUSTICE in the UK and never will be and the voices of vulnerable people will not be listened to.

The idea is to distance a vulnerable person from their families, to incarcerate them in unsuitable noisy institutions or care homes put under a DoLs or CTO. This vulnerable person (Elizabeth) said that she would like her mother to attend the Tribunal otherwise I would not have got the letter in the first place and this was also confirmed on Sunday last when I visited my daughter she again said she would like me to attend.

Every week without fail I drive an hour’s journey in the new area to this facility just for 30 minutes then another 30 minutes in total as No S17 leave given. It is the most restrictive “prison” facility ever and all she did was to throw some tea – all this time imprisoned when she could be home and out in the sunshine. Elizabeth is on a fortnightly depot and I was advised by an expert who I turned to for advice that on no account should I ignore the fact that she was on the depot and should phone 111 which I did which led to A&E then sectioning which was not the intention then a catalogue of bullying even worse than we have ever known before in the new area where we had hoped to start afresh and hoped that things would be different. The last thing I wanted to do was complain or write my blog. All that should have been done was to continue the treatment in place already and the reduction of the clopixol depot ongoing as was being done before by professionals. However, I have just found out that the previous area still have the S117 care and perhaps this has caused the problem as they refuse to release it.

When Elizabeth was discharged from Chase Farm hospital Enfield, North London she had a discharge note that pointed only to physical health conditions re abnormal findings on a scan. There were lots of different medical appointments I was having to take Elizabeth to. They were finally taking her physical health seriously. To get her to these appointments was difficult as someone had damaged my car through theft stealing the catalytic converter and leaving me without a car so I had to hire a wheelchair. I would take Elizabeth to all these appointments which was incredibly stressful for her. The one outstanding appointment – most important of all was the Neurologist appointment. When I sold my house I tried to get this moved forward in vain but since then have been unable to take her despite the new GP stating to go back to London and I was prepared to drive there. This has been refused by doctors at Ash Villa when there are abnormalities on a scan and I am prepared to pay.

When we moved, following a meeting with Enfield Community Rehab Team, we obtained a letter in addition to the discharge note. The note was detailing the reduction of the depot injection by the RC Dr Ilyas Mirza. The details therein did not quite match the verbal account given which was every six weeks a review would be given. Elizabeth was on no CTO and every six weeks was being reduced off the drug clopixol depot by 50mg and he commented that on the very low dosage he would have to be more careful and this would require more frequent contact so the depot was like a section in itself. Every time they came she was upset and thereafter too it would take her a few days to recover. All the time I stayed with her, held her hand and watched her distress and someone else witnessed what was going on but not once did she refuse. Not once did I stand in the way of such treatment but I totally understood how she felt.

At Chase Farm Hospital Enfield she was dragged across the floor, had her handbag ripped off her shoulders and was kicked in the knee in retaliation by the ward manager when she tried to defend herself in vain. At Elysium also brutal treatment and drugged to max level.

All along she has maintained she is autistic. My daughter came out positive in all screenings for autism and I have watched professionals and the way they communicate with her not having a clue and this is why I would welcome every Trust being involved in the Oliver McGowan Training Programme which is supposed to be mandatory especially Barnet Enfield & Haringey MH Trust and Lincolnshire Partnership Trust.

Prior to the Tribunal I tried to ring Elizabeth. I could not get through on the phone. It turns out the phone was in a locker placed in there by staff – my only point of contact, a carers rep told me Elizabeth did not want her phone from the locker. Why was the phone placed in the locker and why are visits restricted as I am the Nearest Relative? Why was I excluded from today’s Tribunal? Why is my daughter’s wishes not listened to? Why most importantly was Elizabeth deprived of going into the Tribunal today? Why are members of staff instructed to put the phone down? Who reported me as an unfit attorney when I tried to get treatment continued in a new area and why is the S117 aftercare still with the previous area?

I have an extract to reveal from a letter signed by Sarah Connery Chief Executive: “we are doing all we can to ensure she is receive a high quality service from LPLFT whilst in our care. We acknowledge this is a very difficult time for you and therefore *** Carer Champion for Ash Villa will continue to support you. Also it goes on to say her role is to support me as carer not to answer questions on behalf of others. When you are banned from speaking to anyone what kind of service is this? – sadly so much for wanting a fresh start our move has been disastrous and horrific and we have encountered even more restrictive practices and draconian treatment ever witnessed before. There is no accountability when it comes to mental health/autism and LD and this area is a prime example coupled with my previous area.

In this new area there is a big carers network none of which is supportive – there is a whatsapp group with hundreds of carers included. When I wrote recently stating that no-one bothered to tell me that my daughter had contracted covid and was in isolation – this was their response: “this is a polite request to everyone when posting messages to be mindful what is posted on here so is inclusive to all and we support each other and maybe a different forum is needed for other issues.” In other words it is not supportive to anyone who needs real support. It is only for those who post positively. There is no way I could work paid to shield professionals like a barrier where you might if you are lucky get snippets of information here and there but many questions remain unanswered. When you complain to Pals nothing comes of it then you get a letter from the Chief Executive as mentioned earlier.

I have never seen such restrictive treatment in breach of human rights anywhere before and that is why I call it prison. As a carers rep myself I feel there needs to be substantial changes otherwise nothing will ever get better. I am not saying that all staff are bad but there is most certainly breach of human rights by depriving contact and proper S17 leave not escorted. We have had several days of no contact at all following her Birthday. Elizabeth is not happy and wants to go home and the house is now much better. I feel like putting up all the pictures on Youtube detailing the extensive work and building of Elizabeth’s very own independent accommodation.

Even Cygnet, Cambian and Huntercombe were less restrictive but what makes this all the more horrific is that this is an NHS Hospital in breach of their very own Charter. I would also point out that patients religious needs are not catered for and that it has been refused on two occasions that Elizabeth is allowed to come to church. I had to advise the local churches today about this fact.

I want to point out also that I have spoken to more than one member of staff to ask how Elizabeth has been lately. I was told she is spending most of her time in her room alone. She has not been in any kind of trouble. She cannot stand the noise and I bought her ear plugs as noise is distressing to her. She is lying in bed when it is nice outside and up during the night. She is also feeling cold and complains that the bed is uncomfortable. She is being given extra prn drugs on top of the clopixol depot. She has commented she will never get better in there and that is not surprising.

I have just asked Elizabeth how her tribunal went. She is commenting on her cat.

Elizabeth said she did not get the chance to go in. She is writing to me right now. I wonder why???

I am trying to clarify this but there is noone to turn to for any answers.

“Hi someone has stood in my way getting home”

“Csny wait come home”

“All that I’ve seen happen to me is my liberty being taken away its starting to become really boring this GAME!”

“I love you mum you’re the best”

“ I am currently stuck in AV“

“Hi mum isn’t there a way I could stay in the chalet while   your busy building”

“You’ve got to get me outta hrre”

“I love pigeons and make sure they’re some onion rings crisps and sandwiches from ms”

“Hi I think the MH health has abused me”

“Hi Mum can you bring me a homemade choc cream filled cake –  Hi can you please get me some egg mayonnaise sandwich maker sliced white bread olive oil spread some more salami.

“Are you coming to see me.”

“Are you going coming to see me tomorrow.”

“It  will be a long old stretch till end of February but I hope ur ready pick me up and well go for a nice mcdonalds meal and I will give you my coke so I dont spill it.”

“Dr R I think is behind all the abuse I could cry.”

“They are being nasty I dare you to come to the hospital and demand my release.”

“make sure you send that ombudsman paper off to the right place”

“miss you lots”

Re her cat “how’s my baby fluffy  “I am glad he’s ok I miss him I wd love come see him sometime soon”

“ I cant wait for my chocolate birthday cake sounds del”

“could it be that the autism has caused me to look unwell”

“this situation MH gets weirder as the day goes past.  They are ob trying to hold me against my will here it’s so terrible”

My daughter has herself on two occasions on her own accord called the CQC but now things have taken a turn for the worse and I am having to look for all the capacity assessments she has had carried out in the past which are many. My daughter has also put a prayer on Lincoln Cathedral’s website begging to come home whilst at Lincoln Hospital.  I had nothing to do with this whatsoever and she could not have done this if she did not have capacity.

J…. she asked about your phone calls.

Have you got a copy of your care plan   “no”

“would like to come to church”

“you nd to act now call cqc”

“I refused the lying down mri”

“bring my swimming costume just in case”

“I think I am being abused”  

I have just spent over an hour driving to visit Elizabeth. It has been a nice day today and only ground leave is allowed because there is covid on the ward again. You have to book a visit even for when it is to walk outside. I saw other patients outside on their own but doubt whether Elizabeth is allowed out without escorts. I have supervised visits only and that has been the case for quite some time. When asked why? you get no answers to this. When asked about S17 leave again you get no answers.

I am just about getting used to the roads now. I found them terrifying at first. It is hardly worth me going to visit for just one hour but I always make the effort and combine my visit with other things such as going to the local church where I have met some very nice people and swimming. I asked a week ago if I could take Elizabeth to church. The answer was no. I asked if I could take her swimming. The answer was no. I asked if she could see the lovely ducks and pigeons in the canal – the answer was no.

I have one point of contact only and staff have been advised to put the phone down on me. If I was to do this in my previous role I would be sacked but this is the NHS and anything goes.

None of this should ever have happened but this area is a prime example for other areas to learn from.

I am included in the ward rounds so far and presented a list of questions prior but not all were addressed.

One such question was “Why under S26 of the MHA have I as NR been given only restrictive visiting rights?

Another question was “who are the hospital managers” – “we can’t give you this information”.

It is heart-breaking that on a nice day such as today Elizabeth is held a prisoner and spends most of her time in her room. She should be out in the fresh air or more to the point home amongst her family.

I have done a lot now to a house that was sadly neglected for many years. I might put everything up on Youtube to show what I have had done to the house.

Elizabeth liked the house even when it had not even been touched and she liked the area where people are kind and friendly however not everyone is kind as we have found out.

The question needs to be asked why care was not up and running – care being the depot injection in the community which Elizabeth was being taken off.

I tried hard to get ongoing “treatment” in place knowing full well that I would be labelled as unsuitable and unworthy of being the Nearest Relative but even worse is their approach in this new area. The S117 aftercare of depot only was still being held by Enfield Community Rehab Team just after Xmas and I am assuming they still have this because Elizabeth flatly refused to speak to them.

If you are thinking of moving to a new area in the hope of a fresh start and new beginning I am afraid my blog is a warning to everyone who thinks things are better elsewhere when they are not.

Today’s visit was quite pleasant and this time staff stood back. It was outside in the grounds and I was able to hand Elizabeth all the nice food and money etc that I brought for her.

In the previous hospital about half an hour away from this one I hardly had any contact and again it was supervised which was intrusive and quite frankly degrading. Even more degrading was the caged vehicle used to transfer patients – they are patients not criminals so why can’t more suitable transport be used?

There is no thought for Art 8 or 3 in this area. Family visiting rights severely restricted and blame put on covid. At the previous hospital it was dormitory accommodation and this is highly unsuitable for someone like Elizabeth who has sensory issues and still persists in saying she is autistic but noone listens or respects – the very diagnosis was autism. It is as though they do not want her to have the autism diagnosis and that they just want to stick with schizophrenia because this is what they can “treat” with drugs. They had to put her in a side room at the other hospital but the current facility is situated in a quiet area.

So Elizabeth spends much of her time in her room and in bed she said to keep warm. Apparently blankets are not allowed and I was taking a little dog to visit which she thoroughly enjoyed but was told this was not allowed. This place quite frankly is more like prison than a hospital. Physical health is overlooked and dismissed.

My next blog will feature the various letters I have received which I am sure some of you can identify with. I will try and do this tomorrow.

On a positive note the house is much improved now. We have a static caravan which I bought especially for Elizabeth as I did not want to prolong her suffering whilst being held like a prisoner simply because the NHS could not get things up and running in the new area. Hopefully work can start to take place on the demolishing of rundown garage and the commencement of building works for her separate architecturally-designed living accommodation for which we have consents. I got the static caravan for Elizabeth and she will be overjoyed to see this.

I was concerned today that Elizabeth was subdued she told me that a nurse had injected her with a different drug and she was very very weak and tired. She is not getting fresh air or much exercise. The grounds surrounding this facility could be made much nicer and I asked staff members what they would like to see. I shall feature this in another blog as I can also think of no end of improvements to this facility.

It is a pity that the RC Dr HMS has resorted to getting rid of me as NR and going down the route I believe of discrediting the POA for myself/her father. When he told me this at ward round I thought “not again!” How many times do I have to be bullied and faced with legal action against me like a criminal and most importantly how much is this costing when this money could be instead spent on better things and I would be willing to help raise some money instead plans are already in hand to get rid of me and in a very big way which I am more than happy to feature despite my comments below:

I have been warned if I wrote about this that the consequences were that they could discredit me and trying to say that I am mentally ill when in fact I would not be driving for hours or writing this accurate blog otherwise.

I had so hoped for something better and I am awaiting my FOI request as to how much this facility costs and will let you all know.

The Tribunal is on Tuesday and I do not appear to be listed as NR yet I most certainly am the NR and Elizabeth today confirmed her request for me to attend.